









KOMMUNIKATION – wenn das Echo zur Musik wird
Menschen begegnen, ihre Ideen und Wünsche erfassen, Möglichkeiten aufzeigen,
Bedenken verstehen…
ZUSAMMENARBEIT – wenn auf Worte Taten folgen
Der ehrliche Wunsch, zusammen das Beste für den Menschen zu erreichen, Medizin,
Technik und Kunst zur Höchstform treiben, Einzelheiten respektieren…
LEIDENSCHAFT – die zugleich Berufung ist
Voller Freude an die Umsetzung gehen, versunken arbeiten, das ganze Wissen
nutzen, bis ins kleinste Detail verliebt sein und nach natürlicher
Perfektion streben…
Das ist es, was mich antreibt. Darum bin ich Zahntechnikerin.
Die Welt des festsitzenden Zahnersatzes:
Unsere Zusammenarbeit gestaltet sich durch eine offene Kommunikation und fallbezogene Absprachen mit mir als alleiniger Ansprechpartnerin. Je besser ich Sie und Ihre Arbeitsweise kenne, umso genauer wird meine Zuarbeit sein. Mit- und Vorausdenken zählen zu meinen Stärken. Die Patientenanalyse -als Herzstück für perfekte Zähne- sowie die finale Anpassung der Restauration finden idealerweise bei mir im Atelier in angenehmer Atmosphäre statt. Durch den digitalen Workflow bin ich zudem in der Lage, deutschlandweit für Sie Lieblingszähne zu kreieren.
Diese Faktoren bilden die Basis für ein Ergebnis, das die Patienten und Sie begeistert. Profitieren Sie infolge durch verkürzte Behandlungszeiten, den Wegfall von Korrekturterminen und gewinnen Sie an Planungssicherheit und persönlicher Reputation.
Mein Ziel: Freude und Leichtigkeit für Sie beim Eingliedern und ein Strahlen auf beiden Seiten des Behandlungsstuhls.
Was wirklich zählt…
ist, am Anfang einer Arbeit das Ergebnis vor Augen zu haben. Planung und Umsetzung bleiben bei mir in denselben Händen. Für Sie der pure Luxus – nur eine Ansprechpartnerin, die direkt in der Materie jeder einzelnen Arbeit steckt. Ihr Schlüssel zu gleichbleibender Qualität und Individualität.
Für ein sicheres Gefühl…
arbeite ich mit einer klugen Mischung aus hochwertigen Materialien langjährig etablierter Dentalunternehmen, neuester Cad/ Cam-Technik und meiner kreativen Handwerkskunst als Spiegel meines Qualitätsanspruches.
Für das perfekte Ergebnis…
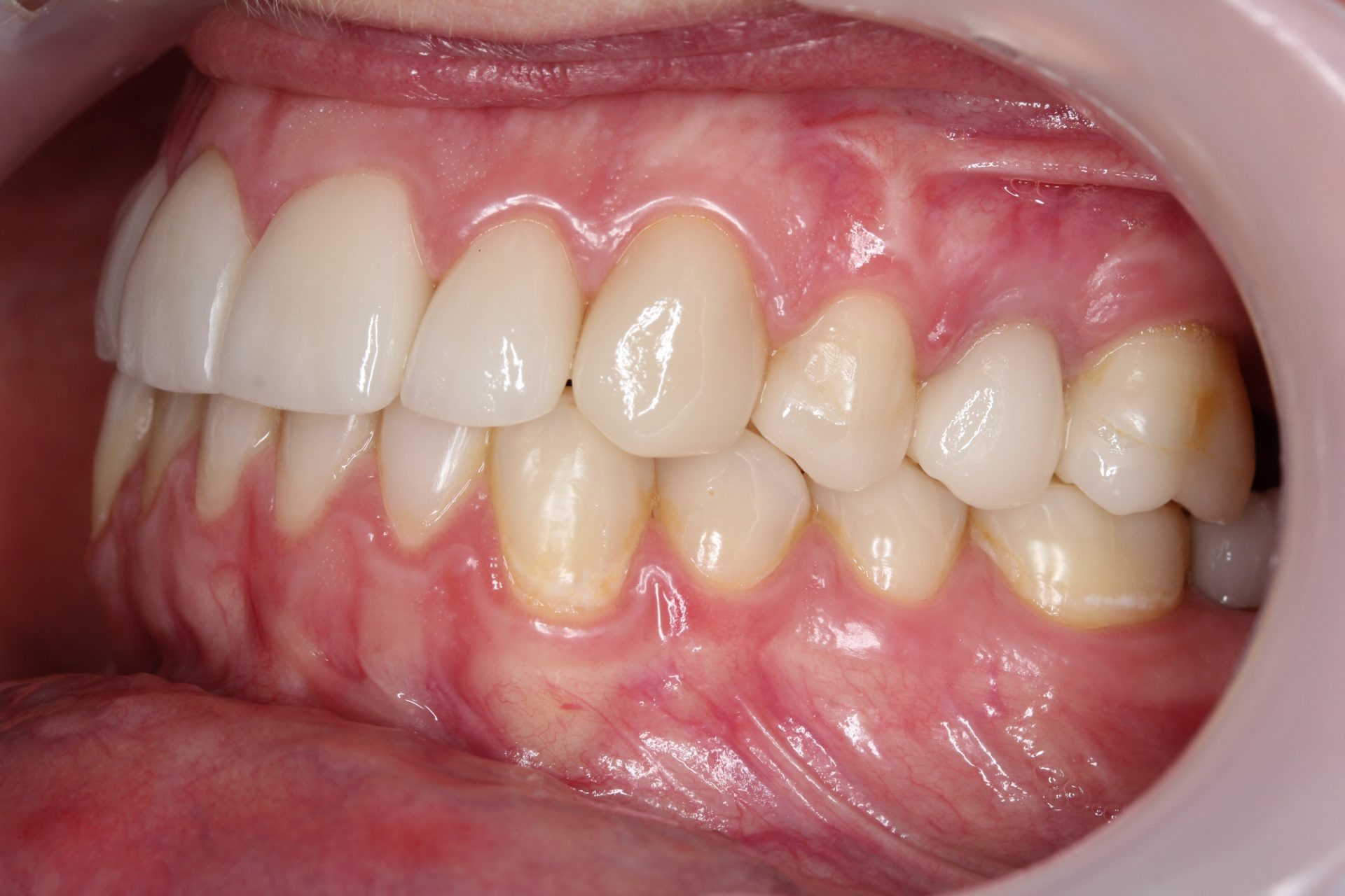
nehme ich mir Zeit. Die Analyse des Patienten bildet mit der Arbeit des Zahnarztes das Fundament für Ästhetik auf höchstem Niveau. Fachkenntnis, Konzentration und Leidenschaft bilden hierbei meinen roten Faden.
Seit 30 Jahren widme ich mich meinem Lieblingsthema…großen, kleinen, geraden, schiefen, weißen und farbenfrohen Zähnen. Die größte Freude für mich und Antrieb zugleich – ein glücklicher Patient und sein zufriedener Zahnarzt.
Viel Erfahrung sammelte ich deutschlandweit in der Zusammenarbeit mit Zahnärzten und Patienten und habe dabei gelernt, wie wichtig die Erfüllung der Bedürfnisse auf allen Seiten ist.
Mein Ziel: dieser großen Herausforderung gerecht zu werden. Dafür arbeite ich äußerst engagiert – mit all meinem Wissen und meinem Herzblut.
Meisterin der Zahlen und Organisationstalent
Mein Ziel:
Einen reibungslosen, administrativen Ablauf gewährleisten! Und das mit ganz viel Humor und Freundlichkeit.
1998
Abschluss zur Zahnarzthelferin
1999
Abschluss Abrechnungswesen
1999-2025
Tätigkeit in verschieden Zahnarztpraxen
2022
Abschluss Abrechnungsmanagerin
Seit Mai 2025
bei Lieblingszähne
Frauenschwarm und Netzwerker
…an ihm kommt keiner unbemerkt vorbei

…sind facettenreich, strahlen wie ein Sommertag oder schimmern wie Perlen. Ich nehme mir Zeit für Sie und die persönliche Analyse. Ihre Augen, Ihr Lachen und Ihre Art zu sprechen…all das ist einzigartig und setzt sich wie ein Puzzle zusammen. Nach Vorankündigung durch Ihre/n Zahnarzt/-ärztin vereinbare ich sehr gern einen Termin mit Ihnen. Ich nehme mir Zeit für Ihr Lächeln – dem Lächeln, das zu Ihnen passt und Ihre Persönlichkeit abbildet.
Diese Arbeit ist zeitaufwendig, macht sich aber mehrfach bezahlt, denn ich bin mir der großen Auswirkung auf Ihre Lebensqualität bewußt und arbeite sorgsam und mit Hingabe für Ihre Lieblingszähne. Freuen Sie sich auf eine tolle Zeit in meinen Atelierräumen, die Ihnen Einblicke in diese moderne Handwerkskunst gewährt und selbstverständlich Raum für Ihre Wünsche und Fragen läßt.
Ich möchte, dass Sie vor Freude strahlen!